- +1 (809)-723-6370
- info@roamalabs.com.do
- C/ Ing. Juan Paradas Bonilla No.3
maxresorb ® es un material sustituto óseo innovador, seguro, confiable y totalmente sintético que se caracteriza por propiedades de reabsorción controlada y excelentes características de manejo.
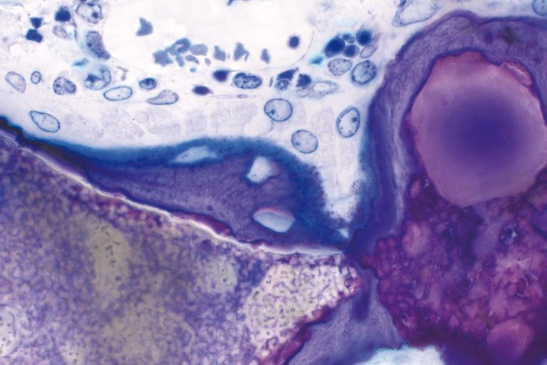
maxresorb® está compuesto por un 60% de hidroxiapatita (HA) de reabsorción lenta y un 40% de fosfato beta-tricálcico de reabsorción rápida (β-TCP) . El exclusivo proceso de producción basado en síntesis asegura una distribución completamente homogénea de ambas fases minerales. La peculiar composición de maxresorb® promueve la formación rápida de nuevo hueso vital, al tiempo que garantiza una estabilidad mecánica y de volumen a largo plazo.
La osteoconductividad de maxresorb® se basa en una matriz de poros interconectados, una porosidad general muy alta de aprox. 80% así como su superficie rugosa. La superficie nanoestructurada facilita la adsorción de sangre, proteínas y células madre y promueve la diferenciación celular y la integración ósea. maxresorb® es, por tanto, un andamio ideal para la migración de células formadoras de hueso y la unión de moléculas de señalización, que pueden acelerar la integración y regeneración de los tejidos.




Maxresorb® ofrece una alternativa confiable al hueso bovino en una variedad de indicaciones.
que equipo buscas?
No dude en ponerse en contacto con nosotros y estarémos más que feliz de responder a todas sus preguntas.